Services

Pit and Fissure Sealants

Pediatrics

Pediatric dentists specialize in treating infants, children, and adolescents, from infancy through late teens. They are trained to provide a range of dental care, including preventive and restorative dentistry, and they are uniquely qualified to provide treatment for a wide range of medical conditions and dental diseases that can affect children, especially those with special needs.

Pediatric dentistry helps promote oral health in children by providing preventive education, counseling, and small treatment plans to help children establish good oral habits for life.

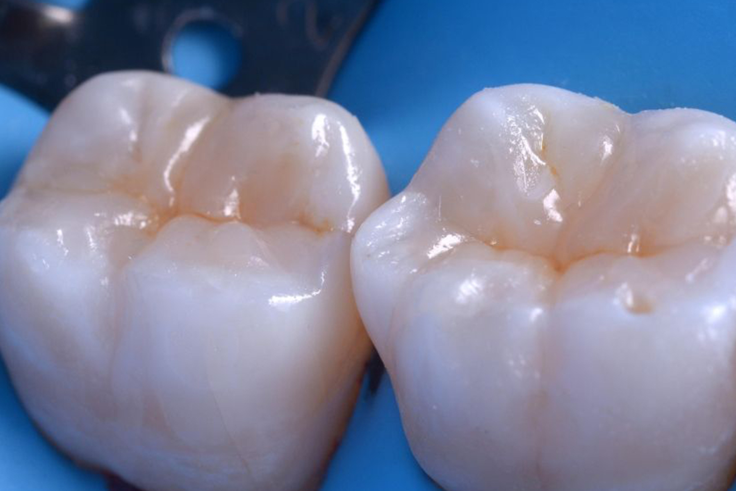
Pit and Fissure Sealants

Pit and fissure sealants are a type of preventive dental treatment that is used to protect the chewing surfaces of the back teeth (premolars and molars) from decay.

The process of placing pit and fissure sealants typically involves the following steps:

Examination and Diagnosis

A dentist will examine the patient's teeth and determine if pit and fissure sealants are appropriate.

Cleaning

The dentist will clean the teeth to be sealed, removing any plaque or debris from the chewing surfaces.

Isolation

The tooth to be sealed will be isolated with a rubber dam to keep it dry during the procedure.

Application of the sealant

The dentist will apply an etching solution to the chewing surfaces of the tooth to roughen them slightly. This will help the sealant adhere to the tooth. The sealant is then painted onto the tooth and hardened using a special light.

Polishing

The dentist will polish the sealant to give it a smooth surface and to ensure that it is not visible or palpable.

Follow-up

The patient will need to have regular follow-up appointments to monitor the sealants and to ensure that they remain in place.

It’s important to note that pit and fissure sealants are not permanent and may need to be replaced at some point in the future, but they can last for many years with proper care. They are a simple and effective way to protect the chewing surfaces of the back teeth from decay, especially for children and teenagers, as these surfaces are at a higher risk of developing cavities.

Smiles to be proud of

Our Patients

Changing Lives One Smile At A Time!

Appointments